Ciao a tutti e a tutte bentornati in un nuovo articolo del blog di Thesis 4u, la startup innovativa che mette in collegamento gli studenti e le studentesse con le aziende, grazie alle tesi di laurea in azienda.
Amici, preparatevi a un viaggio nel futuro della medicina! Abbiamo intercettato un progetto che è pura rivoluzione e cambierà il modo in cui pensiamo agli ospedali. Non parliamo di solite corsie e sale d’attesa noiose, ma di veri e propri Smart Hospital! Siete pronti a scoprire cosa bolle in pentola? Allacciate le cinture, perché il futuro è già qui e sta per spaccare!

Immaginate un ospedale che non è solo un edificio, ma un vero e proprio cervello, una macchina pensante che ottimizza ogni risorsa, dal primo soccorso alla diagnostica più avanzata. Ecco, questo è il cuore del progetto “Smart Hospital” che abbiamo avuto il piacere di esplorare con le sue fantastiche creatrici: Daniela Vivone, Sara Ferrari, Viviana Ferrari e Sara Mazzoleni.
Queste ragazze hanno tirato fuori dal cilindro idee che ci fanno dire: “Wow, ma è geniale!”.
In un mondo in continua evoluzione, anche la medicina deve tenere il passo. E se pensiamo a eventi di portata mondiale come le Olimpiadi di Milano Cortina 2026, capiamo subito che c’è bisogno di soluzioni flessibili, efficienti e soprattutto intelligenti. Ed è qui che entra in gioco il concetto di Smart Hospital, un approccio che mira a rendere le strutture sanitarie non solo luoghi di cura, ma veri e propri ecosistemi di innovazione.
Pensi che la tua tesi sia originale e vorresti pubblicarla sul nostro blog? Clicca sul pulsante e facci scoprire la tua idea!
Smart hospital temporanei: Pronti a tutto con il progetto “SPOC”!
Ok, iniziamo con la bomba: il progetto “SPOC”! Non è una parolaccia, ma sta per “Secondary Point Of Care”, in pratica un ospedale secondario, più piccolo, ma super attrezzato. E indovinate un po’ per cosa l’hanno pensato?
Proprio per le Olimpiadi di Milano Cortina 2026! Pensateci: un’ondata di turisti e atleti, ognuno con le sue esigenze… serve una soluzione che sia pronta all’azione e che non lasci nessuno a piedi.
Daniela ci ha raccontato che questo SPOC è stato pensato con un occhio di riguardo a tre pilastri fondamentali: modularità, flessibilità e sostenibilità.
Tradotto? Non è un palazzone fisso, ma una struttura che si può montare, smontare e adattare a ogni necessità. Inizialmente l’idea era di costruirlo “con i mattoni”, ma come ci ha spiegato Daniela, “l’idea è stata bocciata subito”.
E qui entra in gioco la genialità: container! Sì, avete capito bene, dei container che possono essere modificati, combinati e trasformati in ambulatori, sale d’attesa e persino aree relax per il personale medico.
Ma non è finita qui! La sostenibilità è un tema caldissimo (e per fortuna la gente se ne sta rendendo conto!), quindi lo SPOC è stato concepito per essere riutilizzabile e con un impatto ambientale ridotto.
E per la flessibilità? Questo ospedale è come un Lego gigante: puoi spostare le sue parti, riadattarle, insomma, è un vero camaleonte della cura. Hanno persino studiato la possibilità di pannelli solari, anche se poi, per ragioni tecniche legate al sito di Bormio (vicino alla Casa della Salute e Comunità), non erano l’opzione migliore.
Ma il pensiero c’è stato, e questo ci dice tanto sulla loro visione a lungo termine!
E non pensate che si siano dimenticate del lato umano! La salute del paziente è al centro di tutto. Illuminazione studiata per il benessere, integrazione con l’ambiente circostante e una particolare attenzione ai flussi per non far incrociare pazienti e medici in corridoio.
Immaginate: niente più “scusi dottore!” mentre un medico sta correndo verso un’emergenza. Tutto pensato per la massima efficienza e il massimo comfort.
E a proposito di comfort, hanno pensato anche al benessere dello staff medico! Oltre alle aree relax, hanno ipotizzato una zona di teleconsulto dove i medici dello SPOC potevano interagire con i colleghi dell’ospedale Niguarda (un po’ come una videochiamata super pro!), garantendo la privacy e la tranquillità necessarie. Un vero Smart Hospital che pensa a 360 gradi!

AutoCAD e IA: Quando la tecnica incontra la creatività (e qualche grattacapo!)
E ora parliamo di sfide, perché ogni grande progetto ha i suoi ostacoli da superare! Quando si crea qualcosa di così innovativo e complesso come uno Smart Hospital, è del tutto normale trovarsi di fronte a qualche muro. Subito si sono trovati davanti uno dei primi grattacapi, da un nome che per molti è sinonimo di disegno tecnico: AutoCAD!
Pensate alla scena: tre ingegnere, piene di idee brillanti per il loro SPOC, ma con una conoscenza di AutoCAD… pari a zero. Come ha raccontato Daniela, con un pizzico di frustrazione mista a ironia: “Nessuno ci ha spiegato come usarlo”.
No, non parliamo di un programmino semplice, ma di un software di progettazione assistita che, come ben sa chi lavora nel campo dell’ingegneria civile o dell’architettura (come la mamma ingegnere civile di chi vi scrive, che lo usa giornalmente!), può essere estremamente complesso per chi non lo ha mai approcciato.
Un bel rompicapo, insomma!
Ma è proprio in questi momenti che la vera proattività e lo spirito di problem solving vengono fuori.
Lungi dall’arrendersi, le ragazze hanno cercato una soluzione e l’hanno trovata: un prezioso aiuto esterno. “Abbiamo avuto un appoggio da una persona esterna, proprio da una ragazza che studia architettura”, ha spiegato Daniela. E alla fine, grazie a questa collaborazione e alla loro determinazione, il rendering del loro Smart Hospital ha preso forma, ed è venuto “una favola!”.
Un esempio lampante di come l’iniziativa e la capacità di chiedere aiuto siano fondamentali per superare le difficoltà tecniche.
E poi c’è stata la questione dell’intelligenza artificiale per il rendering, un’idea che suona decisamente futuristica e all’avanguardia!
L’obiettivo era creare delle visualizzazioni d’impatto del loro SPOC. Peccato che, come spesso accade con le nuove tecnologie, non sia stata una passeggiata. “ChatGPT non collaborava per niente”, ha confessato Daniela, riferendosi al celebre modello di linguaggio.
A volte, anche gli strumenti più avanzati non capiscono le sfumature di un progetto ingegneristico specifico. Hanno quindi dovuto cambiare rotta e alla fine hanno utilizzato “Rendair IA”.
Ma anche con un’altra IA, la sfida non è stata banale.
Creare il “prompt” giusto – quella frase o insieme di istruzioni che si dà all’intelligenza artificiale per generare un’immagine – per ottenere un risultato soddisfacente si è rivelato “un bel rompicapo”, come ha detto Daniela.
L’IA è indubbiamente un aiuto potente, una manna dal cielo nei momenti di crisi ma, come ha notato Viviana, “ti dice che capisce, però poi non capisce tanto bene”
Molto spesso, i dettagli generati non corrispondevano perfettamente all’idea effettiva dello Smart Hospital che avevano in mente. È stata una fase fatta di diversi tentativi, un po’ di frustrazione, ma alla fine, con pazienza e perseveranza, sono riuscite a tirare fuori un risultato che, seppur non perfetto, ha dato un’ottima idea visiva del loro ambizioso progetto.
Un’altra dimostrazione che l’innovazione richiede non solo ingegno, ma anche una buona dose di resilienza di fronte alle (inevitabili) difficoltà tecnologiche.

Smart hospital e deep learning: L’IA al servizio della diagnostica!
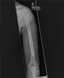
Ma la rivoluzione “Smart Hospital” non si ferma alla struttura! C’è un’altra parte del progetto che è altrettanto spaziale: l’utilizzo del Deep Learning per la diagnostica delle immagini! Immaginate: un’intelligenza artificiale che analizza i raggi X e ti dice se c’è una frattura ossea in un batter d’occhio. Sembra fantascienza, vero? E invece è già realtà!
In questa seconda parte del progetto, le ragazze hanno avuto un supporto più costante, con una tutor che le ha seguite passo passo. E qui si sono divise i compiti come vere professioniste! Ognuna si è occupata di un modello di Deep Learning diverso, scendendo nel dettaglio delle reti neurali convoluzionali (CNN) e dei visual transformer, veri e propri gioielli dell’intelligenza artificiale.
Ad esempio, DenseNet, curato da Sara, è un tipo di architettura di rete neurale convoluzionale che si distingue per le sue “connessioni dense”. Questo significa che ogni strato della rete riceve input da tutti gli strati precedenti, massimizzando il flusso di informazioni e rendendo la rete incredibilmente efficiente nel riutilizzare le feature apprese.
È come avere un’orchestra in cui ogni strumento “sente” e reagisce a tutti gli altri, creando una sinfonia perfetta di dati.
Poi c’è ResNet, nelle mani di Daniela. Questo modello è famoso per le sue “connessioni skip” o “residual connections”, che permettono di bypassare uno o più strati della rete. Tradotto? Aiuta a risolvere il problema della perdita di prestazioni che si verifica nelle reti neurali molto profonde, consentendo al modello di imparare in modo più efficace e di catturare dettagli più fini nelle immagini. Immaginate un percorso in montagna con delle scorciatoie: ResNet fa la stessa cosa con le informazioni!
L’altra Sara invece, si è occupata di EfficientNet. Come suggerisce il nome, l’obiettivo principale di questo modello è l’efficienza. EfficientNet scala le dimensioni della rete (larghezza, profondità e risoluzione) in modo composto e bilanciato, utilizzando un metodo chiamato “compound scaling”. Questo gli permette di ottenere prestazioni elevate con un numero inferiore di parametri e operazioni computazionali, rendendolo un campione di ottimizzazione.
Infine, Viviana ha gestito un modello un po’ diverso ma altrettanto innovativo: un Visual Transformer chiamato VIT (Vision Transformer). A differenza delle CNN che si basano sulla convoluzione, i Visual Transformer applicano il meccanismo di “self-attention” (auto-attenzione), originariamente sviluppato per il processamento del linguaggio naturale, anche alle immagini.
In pratica, dividono l’immagine in piccole patch e poi analizzano le relazioni tra queste patch, permettendo al modello di “capire” il contesto dell’intera immagine in modo più globale.
Hanno lavorato su un dataset di raggi X dell’omero, con immagini di ossa sane e fratturate. Un po’ come insegnare a un computer a distinguere un braccio rotto da uno perfetto. Hanno fatto “runnare” questi modelli su Python, modificando i parametri per trovare l’ottimizzazione migliore. E alla fine? Il modello che si è rivelato il più performante è stato ResNet! Un vero e proprio triumfo dell’IA al servizio della salute!
Il bello di questo lavoro è che non è solo teoria, ma un’applicazione pratica che potrebbe cambiare la vita dei pazienti e il lavoro dei medici, rendendo la diagnostica più veloce e precisa. Pensate a quanto tempo si potrebbe risparmiare e a quante diagnosi tempestive si potrebbero ottenere!
Un altro tassello fondamentale per un vero Smart Hospital!

Collaborazione, scontri e crescita: La vita di un progetto da smart hospital
Ok, abbiamo parlato di progetti straordinari, ma come ogni avventura che si rispetti, ci sono stati anche momenti di tensione e sfide relazionali. Essere un team di quattro su un progetto così impegnativo non è sempre una passeggiata, specialmente quando si devono conciliare gli studi con gli altri esami.
Daniela ci ha confessato che il progetto “Smart Hospital”, pur essendo un esame da “soli” 5 CFU, ha richiesto un sacco di tempo, molto più del previsto. Riunioni, chiamate, lavoro costante… insomma, una vera e propria maratona!
E durante il percorso ci sono state delle difficoltà a causa di incomprensioni e metodi di lavoro differenti, dinamiche che possono capitare quando la pressione è alta.
Insomma, dinamiche di gruppo che possono essere toste, specialmente quando la posta in gioco è alta.
Ma nonostante le difficoltà, il progetto è stato un successo! Hanno imparato a gestire le dinamiche di gruppo, a lavorare sotto pressione e a trovare soluzioni creative anche di fronte agli ostacoli più inaspettati (tipo imparare AutoCAD da zero!). E alla fine, la discussione del progetto è andata alla grande!

Smart Hospital: Il Futuro è Già Tra Noi (e Sta Già Facendo Scintille)!
Questo progetto ci dimostra una cosa fondamentale, ragazzi: il futuro della medicina non è un’ipotesi lontana, è qui, ed è lo Smart Hospital.
Scordatevi l’idea del semplice “ospedale più bello” o “più grande”, perché qui si va molto oltre! Si tratta di un’evoluzione epocale che punta a rendere ogni struttura sanitaria non solo esteticamente moderna, ma soprattutto più intelligente, più efficiente e, cosa importantissima, più umana.
Ma cosa significa davvero tutto questo? Significa che stiamo assistendo all’integrazione di tecnologie pazzesche che stanno cambiando il gioco. Pensate al Deep Learning una realtà che permette diagnosi mediche più precise e rapide.
Provate ad immaginarvi uno scenario: algoritmi capaci di analizzare radiografie o scansioni in un lampo, individuando dettagli che a occhio umano potrebbero sfuggire o richiedere molto più tempo. Questo si traduce in cure più tempestive e personalizzate per i pazienti, un vero game changer per l’efficienza di ogni Smart Hospital.
E che dire della modularità delle strutture? Non è solo una questione di design. Parliamo di ospedali concepiti come “blocchi Lego” super tecnologici, che possono essere assemblati, riconfigurati o addirittura spostati a seconda delle necessità.
Questa flessibilità garantisce una maggiore adattabilità: in caso di emergenze improvvise, di grandi eventi (come le Olimpiadi!) che richiedono strutture temporanee, o anche semplicemente per riorganizzare gli spazi interni in base ai flussi di pazienti e personale. Questo approccio rende lo Smart Hospital un’entità dinamica, capace di rispondere in modo agile a ogni sfida.
Ma l’innovazione non è solo tecnologia fredda; è anche calore umano e attenzione al benessere.
Un vero Smart Hospital mette al centro sia i pazienti che il personale medico. Significa progettare spazi che riducano lo stress, migliorare i percorsi interni per evitare sprechi di tempo, pensare a zone relax per chi lavora instancabilmente e sistemi che facilitino la comunicazione. Non è solo questione di curare, ma di creare un ambiente dove tutti, chi riceve cure e chi le fornisce, possano stare meglio.
Queste non sono solo “belle idee”, ma i veri e propri pilastri su cui si costruirà la sanità di domani.
Ragazze e ragazzi come loro sono le menti di tutto questo. Loro non si sono limitate a superare un esame universitario, ma hanno letteralmente gettato le basi per una visione rivoluzionaria. Hanno dimostrato come l’ingegno, la voglia di fare e la collaborazione – sì, anche con qualche intoppo e qualche scintilla, perché il lavoro di squadra non è mai una passeggiata! – possano portare a risultati incredibili e concreti che hanno il potenziale di cambiare il nostro modo di concepire la salute.
Quindi, la prossima volta che sentirete parlare di Smart Hospital, sappiate che dietro questa definizione c’è un mondo di innovazione costante, di sfide superate con determinazione e, soprattutto, di giovani menti brillanti che stanno letteralmente ridisegnando il nostro futuro.
Sono loro i veri protagonisti di questa trasformazione, e noi non vediamo l’ora di vedere cosa ci riserverà ancora questa rivoluzione! Stay tuned, perché il meglio deve ancora venire!





